micro-community-banner
 
  • Saved
Progesterone Signaling and Uterine Fibroid Pathogenesis; Molecular Mechanisms and Potential Therapeutics

Progesterone Signaling and Uterine Fibroid Pathogenesis; Molecular Mechanisms and Potential Therapeutics

Source : https://www.mdpi.com/2073-4409/12/8/1117

Uterine fibroids (UFs) are the most important benign neoplastic threat to women’s health worldwide, with a prevalence of up to 80% in premenopausal women, and can cause heavy menstrual bleeding,...

Discussion: The expression of progesterone receptors is significantly higher in UFs tissues compared to normal myometrium. Therefore, targeting the progesterone signaling pathway may be a potential therapeutic strategy for treating UFs. Various drugs that inhibit progesterone signaling, such as SPRMs, have been developed and are currently...

  • Saved

Menstruation: Myths, mechanisms, models and malfunctions

Source : https://www.frontiersin.org/articles/10.3389/frph.2023.1158317/full

The endometrium is a remarkable, resilient, hormone-dependent tissue that prepares each month for the arrival of a blastocyst and a pregnancy. If no pregnancy occurs, endometrial tissue surrounding the uterine...

Discussion: The potential of this information to inform improved diagnostics and therapies for disorders such as AUB and endometriosis is considerable and a better understanding of menstruation may offer unique insights into mechanisms of repair without fibrosis.

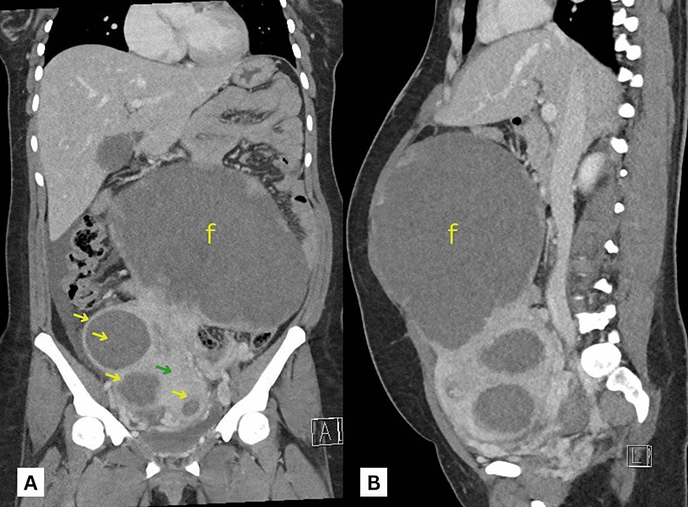
  • Saved
Small Bowel Obstruction as a Complication of Uterine Fibroids: A Case Report

Small Bowel Obstruction as a Complication of Uterine Fibroids: A Case Report

Source : https://www.cureus.com/articles/145619-small-bowel-obstruction-as-a-complication-of-uterine-fibroids-a-case-report

Uterine fibroids are a common, benign gynecological smooth muscle neoplasm highly prevalent in women of reproductive age which can lead to multiple complications including small bowel obstruction. We report a...

Conclusion: Despite bowel obstruction being a rare complication of uterine fibroids, it can be fatal if not promptly diagnosed and managed early, causing considerable morbidity and mortality. Diagnosis of this complication becomes even more challenging if the concerned fibroid(s) is large enough to occupy the abdominal cavity and displace the...

  • Saved

Conclusion: Uterine fibroids, also called “uterine moles”, are the most common benign tumor in women of childbearing age. Ultrasound remains a powerful and very accessible diagnostic method. Myomectomy by laparotomy, in our countries, still occupies a good place in surgical management, despite the use of less invasive and hemorrhagic...

  • Saved
Oxidative Stress and Antioxidants in Uterine Fibroids: Pathophysiology and Clinical Implications

Oxidative Stress and Antioxidants in Uterine Fibroids: Pathophysiology and Clinical Implications

Source : https://www.mdpi.com/2076-3921/12/4/807

In the last few decades, our understanding of the complex pathobiology of uterine fibroid development has grown. While previously believed to be a purely neoplastic entity, we now understand that...

Conclusion: For decades, uterine fibroids have been heavily studied, and researchers have uncovered unique perspectives on uterine fibroid pathophysiology. This paper enriches our understanding of how oxidative stress represents a novel and integral feature of uterine fibroid pathobiology, contributing to their development. As we become...