Practice variation in the stepped care approach to idiopathic heavy menstrual bleeding: A population-based study
Source : https://www.ejog.org/article/S0301-2115(23)00043-X/fulltext
Heavy menstrual bleeding (HMB) is defined as excessive menstrual blood loss that interferes with a woman's physical, social, or emotional and material quality of life.[1] The International Federation of Gynecology...
Conclusion: Considerable practice variation exists among Dutch hospitals in the stepped care approach to idiopathic HMB. Improving adherence to this approach could improve quality of care and reduce costs.
/>
Conclusion: The hormonal dysfunction in adenomyosis supports the administration of drugs interfering with sex steroid hormones and opens the scenario to the use of additional hormonal treatments based on new pathogenic pathways.
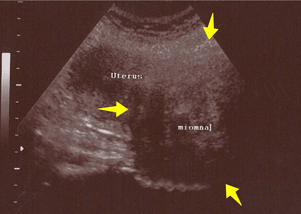
Large Cervical Leiomyoma of the Uterus: A Rare Cause of Chronic Pelvic Pain Associated With Obstructive Uropathy and Renal Dysfunction: A Case Report
Large cervical leiomyomas (≥10cm) are extremely rare. Our case report concerns the surgical treatment of a patient with a large cervical leiomyoma associated with chronic pelvic pain, bilateral hydroureteronephrosis and...
Conclusion: Large leiomyomas of the cervix are extremely uncommon, and their treatment with main laparotomy or laparoscopy surgery presents several difficulties and challenges. Chronic obstructive uropathy secondary to large cervical leiomyoma can result in renal dysfunction with a significantly increased risk of morbidity and mortality....
Uterine Myxoid Tumor: A Case Report on a Mysterious and Unexpected Diagnosis
Inflammatory myofibroblastic tumors (IMTs) are soft-tissue tumors that are rarely malignant. They can occur throughout the body but are rarely seen in the female genital tract. To our knowledge, the...
Conclusion: IMT is a rare uterine mesenchymal tumor with low malignant potential. Extensive sampling was crucial for a correct diagnosis in our case, as is the case with any potential uterine myxoid tumor. An immunohistochemistry panel is also essential to exclude differential diagnoses. This case highlights that not every benign-looking...
Ruptured ectopic molar pregnancy and ruptured uterine fibroid: a challenging rare diagnosis
Source : https://casereports.bmj.com/content/16/1/e251045.full
Although rare and unusual occurrences, a ruptured ectopic molar pregnancy (MP) and a ruptured uterine fibroid can lead to significant maternal morbidity and mortality. We present a unique case of...
Discussion: This is the first reported case of concurrent ruptured ectopic MP and ruptured uterine fibroid.
